Institution: Clinica Colsanitas, S.A.
Additional authors:Edwin Medina, Maria Teresa Urrego, Monica Zapata, Orlando Gualdron, Carlos Ramirez, Enrique Pedraza
Session: AML with myelodysplasia-related changes
HISTORY
November 2012: A 25 year-old woman who consulted to one of our clinics in Bogota. A CBC showed pancytopenia. Her father had AML 10 years ago with trisomy 8. Her brother had AML 9 years ago also associated to trisomy 8. Both received AML protocol of chemotherapy and today both are cured.
DETAILS
Bone Marrow smear is diluted and shows large blasts with granules in the cytoplasm, granular chromatin with three-four nucleoli. No Auer rods are seen. The count is less than 20% (14% in 500 cells)
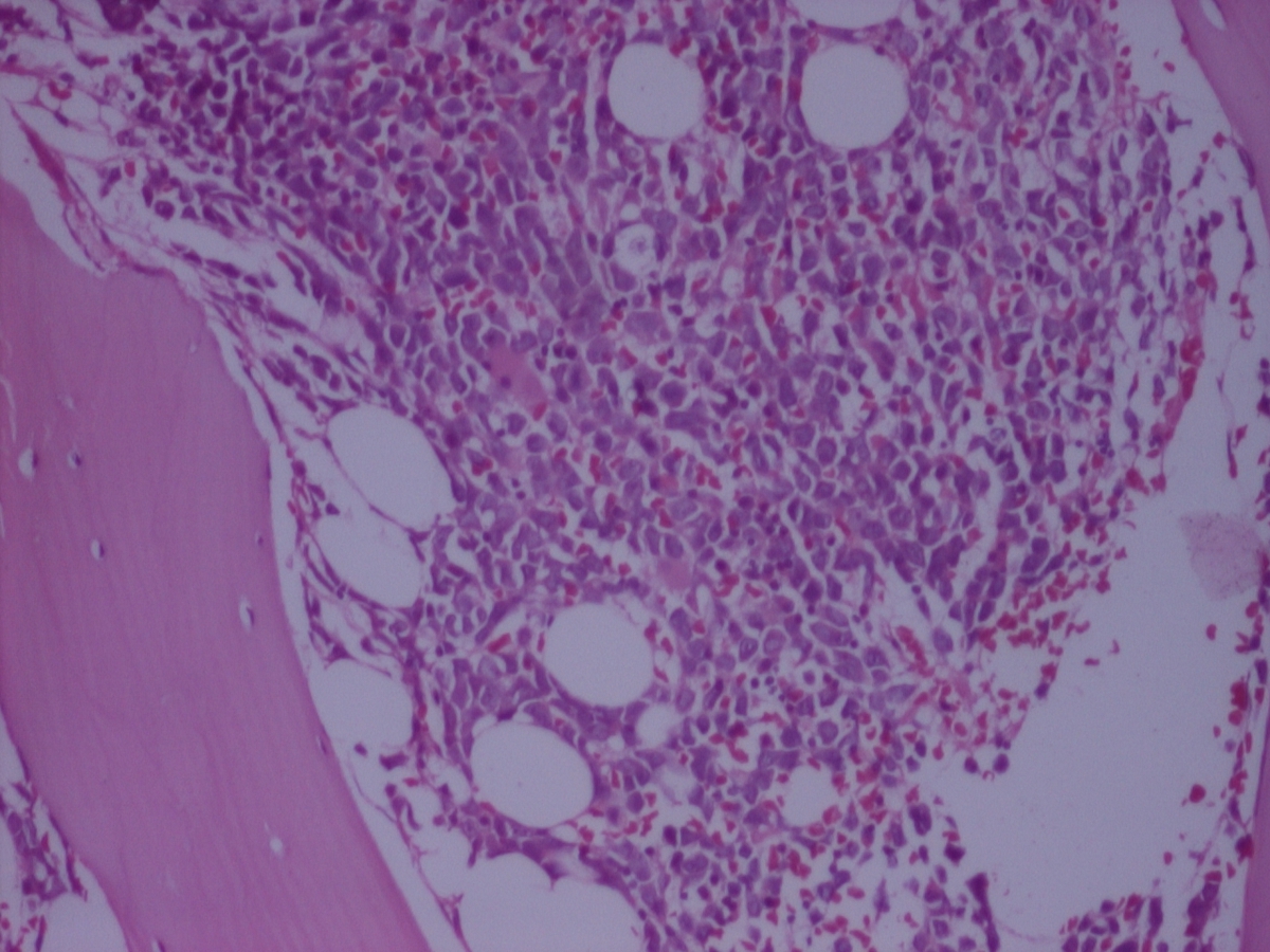
Bone Marrow biopsy shows 70-80% of cellularity and diffuse infiltration by large blasts that are more than 20% with evident and pink cytoplasm. There is marked decrease of the trilineage hematopoiesis. Reticulin fibers are increase.
IMMUNOHISTOCHEMISTRY AND FLOW CYTOMETRY
Immature cells by flow cytometry are less than 20% (16% but the sample is diluted) and positive with: tdt/CD34/CD117/MPO. There is some positivity with CD45, CD13, CD15 and CD33. Blasts are negative with: CD79cyt, CD3cyt, CD19, HLA DR, CD22, CD10, CD20, CD38, CD16, CD64 and CD14. Blasts are positive for CD34 and tdt in BM biopsy. A diagnosis of acute myeloid leukemia was made.
CYTOGENETIC FINDINGS
Cytogenetic studies showed 90~93,XXX,+1,+1,+2,+2,+3,+3,+4,+4,+5,+5,+6,+6,+7,+8,+8,+9,+9,+10,+10,+11,+11,+12,+der(12)t(12;13) (p13;q12),+13,+14,+14,+15,+15,+16,+16,+17,+17,+18,+18,+19,+19,+20,+20,+21,+21,+22,+22,+mar[cp25]
MOLECULAR FINDINGS
None
INTERESTING FEATURES
This case is interesting because the occurrence of AML in three members of the same family. Two of them with trisomy 8 and many trisomies and tetraploidies in our patient. Is there any association of AML and familiar predisposition? At this moment she is in chemotherapy for AML. She is in morphologic and immunophenotypic remission. Her karyotype in the last control (Jan/2013) is normal.
PROPOSED DIAGNOSIS
Acute Myeloid Leukemia. Familial predisposition?
CONSENSUS DIAGNOSIS
Acute myeloid leukemia with myelodysplasia-related changes (hyperdiploidy and complex karyotypic abnormalities)
| AML BM smear | ![]() |
| BM biopsy | ![]() |
| BM biopsy | ![]() |
| BM reticulin | ![]() |
| CD34 in Bone Marrow biopsy | ![]() |
| tdt in Bone Marrow biopsy | ![]() |
| karyotype | ![]() |






